Proof & Progress

Treatment Results

Browse examples of client progress across face, body, and skin concerns. Every plan is tailored, and results vary by treatment area, response, and consistency.

πŸ“Έ
Real Case Examples The gallery is organised by concern so visitors can quickly see the types of improvements the centre works on most often.
🧭
Consultation-Led Planning Images are only one part of the decision. The more important step is matching the right plan to your own concern and comfort level.
⏳
Progressive Results Many treatment goals improve over multiple sessions, which is why realistic planning matters as much as the first visible change.
πŸ”’
Privacy-Respecting Display The results page is meant to reassure and educate, while still keeping presentation focused, tasteful, and professional.

How To Read The Gallery

What A Professional Results Page Should Explain

The strongest beauty and aesthetic websites do more than show photos. They help visitors understand why results differ from person to person.

Treatment Plan

Results depend on the concern being treated

Contour work, skin recovery, rejuvenation, and wellness-led treatments each follow a different pace and often require a different session plan.

Consistency

Visible change is often progressive

Some clients notice early improvement quickly, while other concerns need steady sessions and follow-up care to become more obvious over time.

Consultation

Your own starting point matters most

The most useful expectation comes from a proper consultation, because skin condition, treatment area, and personal goals all affect the direction of the plan.

Planning Lens

How Different Result Directions Are Usually Planned

A stronger results page does more than show examples. It helps visitors understand which treatment direction, pacing, and consultation questions are usually discussed for each concern.

Face Direction Explore face slimming

Face contour planning usually starts with balance, not just one machine

When clients ask about jawline definition or lower-face refinement, the conversation usually includes contour support, skin condition, and how much visible change they hope to build over time.

Often discussed Contour-focused facial systems, lifting support, and session spacing.
What the team looks at Lower-face fullness, firmness, symmetry, and comfort level.
Typical rhythm Usually planned as progressive sessions instead of a one-visit promise.
Body Direction Explore body slimming

Body shaping conversations usually focus on area, firmness, and pacing

Clients comparing body contour results are often guided through targeted zones, comfort level, and whether the goal is more about silhouette support, detox rhythm, or firmer-looking areas.

Often discussed Slimming programmes, detox support, contour sessions, and area-by-area planning.
What the team looks at Zone size, tissue feel, how focused the concern is, and expected rhythm.
Typical rhythm Usually structured over several visits so progress can build more realistically.
Skin & Eye Direction Explore skin restoration

Skin recovery and eye-area concerns usually need a gentler planning lens

For visitors focused on texture, under-eye appearance, scars, or a fresher glow, the route is usually discussed around sensitivity, recovery comfort, and the condition of the skin itself.

Often discussed Gentler facial technology, skin restoration support, hydration, and recovery care.
What the team looks at Sensitivity, texture, tone, tired-looking areas, and how reactive the skin feels.
Typical rhythm Often built more carefully so the skin can respond well between visits.
Wellness Direction Explore wellness care

Some visible improvement goals are best supported by recovery and comfort planning

Not every client conversation is only about contour or skin. Sometimes stress, body fatigue, and the need for a more restorative visit also shape what treatment route makes the most sense.

Often discussed Aroma massage, nano jade wellness room sessions, and comfort-led recovery planning.
What the team looks at Tension areas, desired heat level, overall fatigue, and whether a slower visit suits you better.
Typical rhythm Can work as standalone wellness support or alongside a broader beauty plan.

Before & After Gallery

Browse Results By Treatment Concern

Each section below highlights a different treatment focus so visitors can compare the type of progress most relevant to their own goals. Click any image to enlarge it.

Face Slimming

More definition through non-invasive contour support

Often explored by clients who want a cleaner jawline, better lower-face balance, or a more sculpted appearance without surgery.

Body Slimming

Contour improvement for targeted body areas

Relevant for clients focused on silhouette support, smoother contours, and visible shaping progress through a structured body programme.

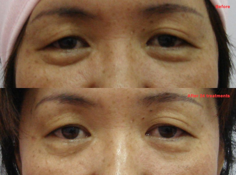
Eye Treatment

Support for a brighter, more rested eye area

This category is helpful for visitors concerned with heaviness, tired-looking eyes, or a less refreshed appearance around the upper face.

Targeted Areas

Focused support for selected body areas

These examples are useful for clients comparing focused body plans for selected areas where they want smoother-looking texture, firmer direction, or more shape support.

Skin Texture & Glow

Smoother-looking texture and a fresher overall finish

Designed for visitors interested in surface clarity, fresher-looking skin, and a more polished facial finish rather than contour support alone.

Before-and-after images are shared to illustrate treatment direction and typical areas of focus. Final outcomes vary according to starting condition, treatment area, treatment plan, and response over time.

Customer Review Highlights

Real Feedback That Builds Confidence

This review wall highlights real customer feedback kept by FBS, with wording kept close to the original and shortened slightly for readability.

Customer-shared review
β˜…β˜…β˜…β˜…β˜…

β€œThe staff were super friendly and professional... I can see the results after the treatment.”

Friendly Team Visible Results Clean Environment
SA
Sarifah A.
Smooth treatment, visible results, and a clean, comfortable environment.
Customer-shared review
β˜…β˜…β˜…β˜…β˜…

β€œI am truly impressed with the facial treatment service... My skin feels so fresh, soft, and radiant.”

Facial Care Warm Service Fresh Skin
FD
Fydah D.
Warm service, top-notch facial treatment, and skin that felt fresh, soft, and radiant.
Customer-shared review
β˜…β˜…β˜…β˜…β˜…

β€œThe staff were professional, gentle, and very knowledgeable... My skin felt smoother, cleaner, and more hydrated.”

Gentle Care Hydrated Skin Relaxing Visit
MH
Maznah H.
Professional, gentle care with a calming environment and skin that felt smoother, cleaner, and more hydrated.
These review highlights reflect real customer feedback kept by FBS, while before-and-after photos continue to illustrate treatment direction rather than guaranteed identical outcomes.
5.0
Google Review Signal 43 Google reviews and a 5.0 rating help first-time visitors feel more confident before they enquire.

What Builds Confidence

Why Clients Usually Feel More Reassured After Browsing This Page

A more complete results page should reduce uncertainty by combining visible examples with clear context and a simple next step.

Relevant Examples

Visitors can compare by actual concern

Instead of a random image wall, the gallery is grouped around common treatment goals so the page feels easier to understand and navigate.

Realistic Expectations

The page explains why results are not one-size-fits-all

That makes the site feel more professional, because it frames results as part of treatment planning rather than a guaranteed instant outcome.

Trust Signals

Images, consultation, and privacy work together

Clients usually want proof, but they also want reassurance that the centre communicates clearly and handles their concerns respectfully.

Clear Next Step

After browsing, visitors know exactly what to do

The page keeps the path simple: review examples, understand the context, then start a consultation on WhatsApp for tailored advice.

Frequently Asked Questions

Questions About Results And Expectations

This section helps first-time visitors understand how to interpret results properly before deciding whether to enquire.

No. The gallery is there to show treatment direction, not to promise identical outcomes. Your own starting point, concern, and treatment plan matter most.

Not always. Some clients notice early change quickly, but many treatment goals become more visible across multiple sessions and consistent follow-up.

Start with the area you want to improve, the result you are hoping for, and any photos you are comfortable sharing. That gives the team a better basis for guidance.

Yes. You do not need to arrive already knowing the treatment name. A consultation is the best place to match your concern with the most suitable treatment route.

Ready to See Your Own Results?

Book a free consultation today and start your transformation journey.

WhatsApp Us Now

Or Call: +60 12-905 3277